癌症的免疫细胞治疗
Part1、什么是癌?
目前全球的肿瘤患者每年都在不断地增加,仅仅在2000年,全球死于癌症的人数就超过600万,新增癌症患者约1000万,世界卫生组织国际癌症研究中心日前公布的一份研究报告说,根据目前癌症的发病趋势,2020年全世界癌症发病率将比现在增加50%,全球每年新增癌症患者人数将达到1500万人。
现今全世界发病率最高的癌症是肺癌,每年新增患者人数为120万;其次是乳腺癌,每年新增大约100万患者;随后依次是肠癌94万、胃癌87万、肝癌56万、宫颈癌47万、食道癌41万等。其中杀伤力最强的是肺癌、胃癌和肝癌,分别占癌症死亡人数的17.8%、10.4%和8.8%。
癌症发病情况
什么是肿瘤?
肿瘤(tumor)是机体在各种致癌因素作用下,局部组织的某一个细胞在基因水平上失去对其生长的正常调控,导致其克隆性异常增生而形成的新生物。
一般认为,肿瘤细胞是单克隆性的,即一个肿瘤中的所有瘤细胞均是一个突变的细胞的后代。然而之后有研究发现,肿瘤里的癌细胞不都是来自同一个克隆,而是包含各种不同种类的癌细胞。这些癌细胞除了源于基因突变以外,还包括基因重组、片段缺失和DNA甲基化等各种方式。
肿瘤形成的过程
众所周知,人体内的正常细胞,会按照一定的规律生长、分化和死亡,这种按部就班的细胞死亡,称之为凋亡。当凋亡的过程被打断时,肿瘤才会发生。
与正常细胞不同,肿瘤细胞并不经历自身的凋亡,而是永不停息的生长和分裂,这些不受控制、疯狂生长的细胞形成的团块即是我们所谓的肿瘤。
肿瘤细胞的这种异常生长的根本机制主要是由于细胞内DNA受到破坏所引起的。人体中的DNA可以说是正常细胞的“司令部”,控制着细胞该如何生长,如何分裂。
肿瘤的形状
肿瘤的分类
良性与恶性肿瘤区别
肿瘤组织形态
(a) 良性肿瘤局限在包膜中生长与正常组织有清楚地分界线
(b) 恶性肿瘤呈侵袭性生长与正常组织无分界线
良性—恶性肿瘤细胞演变过程
一般情况下,单一突变不能导致肿瘤.通常是一系列的遗传突变或终会导致一个恶性肿瘤细胞的产生。
良性—恶性肿瘤细胞演变过程
肿瘤的发展:转移,肿瘤细胞释放血管内皮生长因子VEGF,促进血管生长
肿瘤的发展:肿瘤起始到蛋白酶的产生
恶性肿瘤的转移
恶性肿瘤发生发展过程
恶性肿瘤的命名
1、什么是癌?
恶性肿瘤来源于上皮组织称为"癌",常见的如皮肤癌、胃癌、肝癌、食管癌、胰腺癌、肾癌、膀胱癌、乳腺癌、大肠癌等。由于癌占恶性肿瘤90%,所以通常把恶性肿瘤称为“癌”。
2、肉瘤
来源于间叶组织称为“肉瘤”,如脂肪肉瘤、骨肉瘤、淋巴瘤等。
3、其他
还有一些恶性肿瘤既不叫"癌",也不叫“肉瘤”,如何杰金氏病,白血病、视网膜母细胞瘤等, 其命名一般来自传统习惯或特殊情况的约定俗成。
恶性肿瘤的十大特征
恶性肿瘤的警示信号/临床表现:
病因
1、生活习惯:如吸烟等不良生活习惯,与癌症发生密切相关。
2、天然及生物因素:紫外线、病毒
3、慢性刺激与创伤:创伤和局部慢性刺激如烧伤深瘢痕和皮肤慢性溃疡均可能发生癌变等。
4、环境污染与职业性:空气、饮水、食物的污染均可对人类造成严重危害。
5、医源性因素:如电离辐射,如X线、放射性核素
6、遗传因素、免疫因素 、内分泌因素
危害
A、肿瘤的膨胀性生长或破溃、感染等使末梢神经或神经干受刺激或压迫,可出现局部疼痛。
B、体表或胃肠道的肿瘤,若生长过快,可因供血不足出现组织坏死或因继发感染而形成溃烂。
C、癌组织侵犯血管或癌组织小血管破裂而产生。
D、癌组织迅速生长而造成空腔脏器的梗阻。
E、体重减轻、食欲不振、恶病质、大量出汗(夜间盗汗)、贫血、乏力等非特异性症状。
F、肿瘤的转移最终引发死亡
恶性肿瘤的诊断
恶性肿瘤的治疗
目前,人类对恶性肿瘤的认识还很有限,并且治疗效果也不理想,但是我们要知道:
现代科学研究表明,在效控制活动下, 癌症是可以避免和有效治疗的!
传统治疗方法-手术治疗、化学治疗、放射线治疗、靶向治疗、中医中药治疗、激光治疗
副作用:手术治疗不能有效的清除已转移的癌细胞、化疗药物会杀死正常组织细胞,因而常伤害机体健康组织、辐射线照射对癌细胞和正常细胞都会造成损伤、靶向药物治疗易产生耐药性。
Part2、什么是免疫细胞?
免疫细胞
免疫细胞是指参与免疫应答或与免疫应答相关的细胞。包括淋巴细胞、树突状细胞、单核/巨噬细胞、粒细胞、肥大细胞等。免疫细胞可以分为多种,在人体中各种免疫细胞担任着重大的角色。
肿瘤免疫治疗
肿瘤免疫治疗就是通过重新启动并维持肿瘤-免疫循环,恢复机体正常的抗肿瘤免疫反应,从而控制与清除肿瘤的一种治疗方法。包括单克隆抗体类免疫检查点抑制剂、治疗性抗体、癌症疫苗、细胞治疗和小分子抑制剂等。
近几年,肿瘤免疫治疗的好消息不断,目前已在多种肿瘤如黑色素瘤,非小细胞肺癌、肾癌和前列腺癌等实体瘤的治疗中展示出了强大的抗肿瘤活性,多个肿瘤免疫治疗药物已经获得美国FDA批准临床应用。肿瘤免疫治疗由于其卓越的疗效和创新性,在2013年被《科学》杂志评为年度最重要的科学突破
研究现状-免疫细胞治疗肿瘤
机理
提高机体抗肿瘤、抗病毒的能力,有效清除体内癌变细胞。
识别后接触直接杀伤
分泌多种细胞因子
激活机体免疫系统
DC—CIK细胞
DC-CIK细胞治疗是由德国慕尼黑大学医学院免疫研究所教授Rudolf Wank发明的,是一种联合了树突状细胞(DC)和细胞因子诱导的杀伤细胞(CIK)用于肿瘤自体免疫细胞治疗的新技术。
鉴于DC细胞具有“识别异己”和“指挥杀伤”的功能,所以在DC-CIK细胞疗法中,人们会将DC细胞和肿瘤细胞混合一下,算是“认认门”,然后再把这些DC细胞和CIK细胞混合一起回输到患者体内,期待DC细胞可以“指挥”CIK细胞去靶向攻击肿瘤细胞。
DC-CIK细胞治疗优势
1、细胞增殖能力强
2、具有广谱的肿瘤杀伤作用
3、对正常淋巴细胞和组织细胞无杀伤作用
4、CIK细胞提高人体免疫功能
5、刺激骨髓造血
临床案例
1例多发肝癌转移的病例,回输DC-CIK细胞后得到了很大的缓解,机体各方面症状减轻,生活质量有了很大的提高。
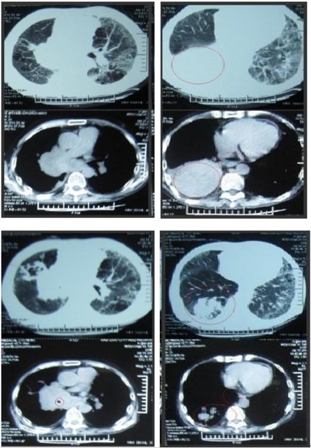
肺癌的CIK细胞治疗效果
治疗前:
右肺门占位伴腰椎转移,右上肺部不张。胸闷、心悸、咳嗽、咯痰、痰中带血、腰痛,无法长时间左立。未行放、化疗,病情进行性加重。
治疗后:
胸闷、腰痛较前逐渐减轻,坐位时间较前延长,治疗后25天复查CT如图所示。
自然杀细胞(NK)

NK细胞是固有免疫系统的重要组成部分,是机体抗御感染和防止细胞恶性转化的重要免疫调节细胞,典型的表面标记是CD3-CD56+,杀伤速度快,范围广,NK细胞识别靶细胞无MHC限制性,可以在无预先致敏的情况下杀伤肿瘤细胞。同时,还可以产生一系列的细胞因子,进而对机体的适应性免疫进行调节,是连接机体固有免疫和特异性免疫的桥梁。
NK细胞的优势
1、NK细胞能够抑制癌细胞附近新血管的生成,从而限制癌细胞生长所需要的养分进而限制肿瘤生长,从源头上防止肿瘤复发和转移。
2、NK细胞本身对人体的病毒感染细胞具有杀伤性,对患者有增强免疫功能的作用。
3、NK细胞对人体无毒副作用,不损害机体正常组织细胞。
CAR-T细胞
CAR-T,全称是Chimeric Antigen Receptor T-Cell Immunotherapy,嵌合抗原受体T细胞免疫疗法。这是一个出现了很多年,但是近几年才被改良使用到临床上的新型细胞疗法。在急性白血病和非霍奇金淋巴瘤的治疗上有着显著的疗效,被认为是最有前景的肿瘤治疗方式之一。
治疗优势
治疗更精准:利用抗原抗体结合机制,克服肿瘤细胞通过下调MHC分子表达以及降低抗原递呈等免疫逃逸。
多靶向更精准:可利用肿瘤蛋白质抗原和糖脂类非蛋白质抗原,扩大肿瘤抗原靶点范围,作用过程不受MHC的限制
杀瘤范围更广:针对某一肿瘤抗原的CAR基因构建一旦完成,便可被广泛利用
杀瘤效果更持久:具免疫记忆功能,可长期在体内存活。
CAR-T治疗过程
采血——T细胞分离——激活并扩增T细胞——感染CAR——液氮储存——CAR-T细胞静脉回输
NK-T细胞
NK-T细胞,即自然杀伤性T细胞(natural killer T cells),是免疫细胞中一个具有特定标志的T细胞亚群,免疫表型为高表达CD3、CD16、CD56、CD45RO等。新的NK-T细胞内部储存了更多的杀伤性酶类(是NK和CIK细胞上千倍),可以非常快速地杀伤肿瘤细胞,从”年龄“、”数量“、”反应速度“、”能力“等方面来说堪称免疫细胞界的”特种兵“。
NK-T细胞发展过程
2005年,清华细胞治疗研究所的团队在准备扔掉的细胞中发现一个细胞个头比其它细胞体积上要大七八倍,他们推测这一细胞在功能上可能是截然不同的细胞--
NKT。研究团队留下了这个细胞,并对它进行了系统的研究发现,这个大个头免疫细胞武器装备非常强,具有特异性及非特异性双向抗肿瘤作用,是免疫系统中的超级杀手,竟然可以杀死癌细胞。
曾经,一位走投无路的晚期肝癌患者自愿参加临床研究,使得NKT提前进入临床试验阶段,至今为止,已接受1000多位实体瘤患者。
NK-T细胞的优势
1.不仅直接攻击癌细胞,还有增强体内免疫细胞活性的作用,持有非常高的抗癌效果,几乎可以治疗所有的患者和癌症。
2.因同时作用于获得性免疫系统和自然免疫系统,不需要提前手术,不改变基因。
3.可以和其他的治疗并用:可以和包括外科手术在内的,抗癌剂、放射线治疗并用。对于放射线耐受性强,因此对于接受放疗的患者也同样有效!用通常疗法杀伤癌细胞的同时,可以用免疫细胞治疗达到减轻副作用和抑制癌细胞增殖的效果。
4.对所有部位的癌,任何患者都有治疗可能。
5.由于是自然免疫细胞的活性化,所以基本没有副作用;不仅癌症患者能使用,普通人也可以用来调节免疫,改善亚健康。
NK-T细胞治疗的适用人群
1、癌症高危人群可通过过继性细胞免疫治疗预防癌症发生;
2、有手术适应症,术后发现有淋巴结转移或病理显示有脉管侵犯,在常规手段干预后(手术、放疗、化疗),马上进行NKT兔疫联合疗法作为辅助治疗,可提高患者生存率,预防复发;
3、各种治疗手段实施后又出现肺,肝出现新转移病灶,单个病灶小于1cm者,可直接干预;超过1cm者可通过3D放疗(射波刀、速锋刀)减负荷后再干预。
NK-T细胞安全性及有效性
1、安全性:
NKT在临床试验阶段,目前无重大不良事件报告;NKT细胞免疫疗法,抗肿瘤效果及安全性已被确认,已获得日本厚生劳动省批准!
2、有效性:
①十二五重大专项指示下开展的临床试验显示:一组出现淋巴结转移的患者,手术后复发率极高的27例癌症患者,经过3年NKT细胞治疗的千预,90%以上的患者没有出现复发!
②44例晚期癌症患者,经过各种常规治疗后出现肺、肝转移,单个病灶<1cm,经过—年的NKT治疗干预,CT评效,显效率接近70%!
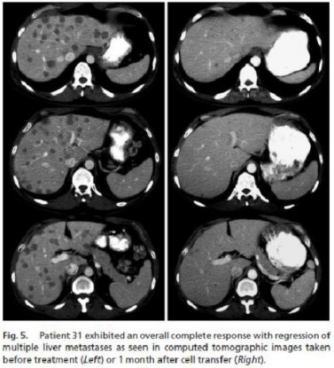
NK-T细胞典型病例
NK-T回输治疗后肺癌病人肿瘤指标下降
NK-T回输治疗后肺癌病人肝转移完全消退(上)肺损伤明显减少(下),箭头所示回输治疗之前的损伤部。
NK-T细胞典型病例
肺腺癌与胆管细胞癌双原发患者,2019年5月,采用NKT细胞免疫治疗,截止2022年10月,已完成13个疗程。
CAR-NK细胞
提到“治愈性”抗癌免疫疗法-CAR-T,几乎无人不知。CAR-T疗法的大获成功让人类看到免疫疗法成功治愈癌症的巨大潜力,也成为人类攻克癌症历史上最值得镌刻的里程碑之一!但是,CAR T细胞疗法无法被忽视的局限性也一直困扰着科学家们,比如仅针对血液肿瘤有效,并且容易引发免疫风暴等。
因此,全球的研究人员都在快马加鞭的研发既能客服目前自体CAR-T疗法存在的重大挑战,又能产生更强杀伤效果的免疫疗法。经过不懈的努力,终于研发出新型的免疫治疗武器CAR-NK。
“通用型”CAR 修饰 NK 细胞的进展被认为是新一代快速发展的有效的抗癌免疫治疗!
目前的研究表明,经过嵌合抗原受体 (CAR) 工程 改造的NK 细胞--CAR-NK疗法能显著提高NK细胞疗效特异性,可以攻克免疫逃逸这一难题,精准打击狡猾的癌细胞;并且在安全性方面优于 CAR-T 细胞(例如,细胞因子释放综合征(CRS)和移植物抗宿主病(GVHD));此外,“现货型”的细胞制备技术让CAR-NK疗法的更容易被临床应用。
CAR-NK细胞
给NK细胞装上“GPS导航”,CAR-NK疗法杀伤能力倍增!
NK细胞是免疫系统的第一道防线。情况反馈及时,一旦发现“敌情”,迅速“上报”并启动整个免疫系统的免疫防御和免疫杀伤功能。与T细胞不同,它们直接检测并摧毁受感染和恶性细胞,而不必被激活或“训练”以对癌细胞作出反应。因此是集功效,安全性和相对易用性为一体理想细胞疗法之一。
CAR-T细胞疗法取得的成功激发了人们对用CAR基因修饰NK细胞来增强其杀肿瘤能力的热情。这个思路和CAR-T的构建类似:利用基因工程给NK细胞加入一个能识别肿瘤细胞,并且同时激活NK细胞杀死肿瘤细胞的嵌合抗体CAR(包括胞外的识别结构域(如scFv)识别肿瘤特异性抗原;一个跨膜结构域,和一个胞内信号结构域(CD3ζ 链)可以诱导NK细胞的活化),相当于是给NK细胞装上了“GPS导航”系统,让其能在体内精准高效杀伤肿瘤细胞。
与CAR-T疗法相比 CAR-NK有四个优势
1、起效更快:与T细胞相比,NK细胞不需要抗原呈递,起效更快速。
2、广谱抗癌:NK细胞具有更广谱的抗肿瘤作用。由于不需要肿瘤特异性识别,且不会被细胞表面的主要组织相容性复合体(MHC)抑制活性限制。这种广泛的活性意味着,与T细胞不同,NK细胞不需要任何抗原特异性的引发即可提供治疗性抗癌作用, NK细胞可以发挥更更广谱的抗癌功效。NK细胞不仅适合作为基因编辑的工程细胞疗法,也适合单独扩增回输。
3、副作用更小:目前T细胞治疗必须是自体的,只能使用患者自己的T细胞。这是因为异体T细胞与人类白细胞抗原(HLA)复合物相互作用可能导致致命细胞因子释放综合征或移植物抗宿主病。 相比之下,NK细胞对HLA复合物的选择要少得多。因此,使用自体或异体的NK细胞不会产生严重的副作用,也不需要与患者免疫匹配,更容易被临床应用。
4、缩短制备时间:由于NK细胞不会引起GVHD(移植物抗宿主病),因此可以将它们从供体提供给接受者,而无需进行匹配。这意味着研究人员可以从一个供体中制备多个剂量的“现货型”或“即用型”CAR NK细胞来治疗多个患者。 从而使治疗的时间大大缩短。并且和个体化定制的CAR-T细胞相比,“即用型”的CAR-NK疗法价格可能会有所降低。
CAR-NK疗法“征战”实体瘤和血液肿瘤
2021年11月11日,国家药监局药品审评中心通过了一款我国自主研发的针对“晚期上皮性卵巢癌治疗的靶向间皮素(Mesothelin,MSLN)嵌合抗原受体NK细胞(CAR-NK)注射液”(简称:CAR-NK注射液)的临床试验申请。
据全球肿瘤医生网获悉,此款产品是国内首例“即用型”异体来源的CAR-NK产品。这也标志着我国的免疫细胞药物治疗实体瘤的研究迈入了新的里程碑!
有效率73%!CD19 CAR-NK对白血病和淋巴瘤效果显著
根据MD安德森癌症中心I / IIa期试验的结果,以CD19为靶点的脐带血来源的CAR-NK细胞疗法,在大多数复发性/难治性非霍奇金淋巴瘤(NHL)患者和慢性淋巴细胞性白血病(CLL)的患者中显现出临床疗效,而且未观察到重大毒性反应。
在参与该研究的11名患者中,有8名(73%)对治疗有反应,其中7名达到了完全缓解!5名有反应的患者继续接受缓解后治疗。没有患者出现细胞因子释放综合征或神经毒性。这意味着他们在中位随访13.8个月时无疾病迹象。
CAR-NK细胞疗法起效快,输注后1个月内就有明显反应,并且输注后1年这些细胞依然持续存在。
永生化DC-CTL细胞
永生化DC-CTL技术是一项细胞免疫治疗领域的创新技术,目前正在中国人民解放军总医院开展临床研究。这是该技术全球首次进行临床研究,截至目前已完成了第一阶段安全性试验,部分患者生存质量QOL评分有所提高。有效性研究还在进展之中。
永生化DC-CTL技术突破了多年来困扰免疫学发展和免疫细胞抗癌技术的瓶颈,有望彻底攻克癌症。该技术在应对乙肝、艾滋病、禽流感以及中东呼吸综合征等疾病方面也有广阔应用前景。
永生化DC-CTL细胞技术原理
通过使用与患者HLA相符、表达实体瘤特异性抗原或新抗原的永生化DC细胞株体外激活患者T细胞,使其进行大量扩增并激活成为以特异性CD8+T细胞为主的细胞毒性淋巴细胞(CTLs),
针对肿瘤进行特异性杀伤。
永生化DC-CTL技术相对CAR-T技术的差异
首先,永生化DC技术的靶点不会受限,无论胞内还是胞外的靶点,都可以被DC细胞识别。其原因在于DC细胞的作用机制,DC细胞遇到抗原时,会直接将其捕获,再消化成一段段的肽段呈递到细胞表面,再与表面的MHC结合激活T细胞进行免疫反应。
北联干细胞目前进行的肺癌临床试验,靶点正是胞内蛋白(MAGEA3蛋白),它在肺癌病人组织中特异表。这时 CAR-T技术对于这种靶点的疾病束手无策,而永生化DC-CTL技术没有对胞内外靶点的限制,对于此类疾病同样可以进行永生化DC技术的细胞治疗。
其二,永生化DC-CTL技术不需要筛选‘子弹头’。“永生化DC-CTL技术不再需要去筛选抗体库,我们直接去克隆肿瘤特异性表达的蛋白对应的基因,再将其插到DC细胞中即可。”永生化DC-CTL技术只需从病人身上获取肿瘤细胞特异性表达的蛋白,让DC细胞也表达这种蛋白,随后便能“教会”T细胞识别该肿瘤,并攻击这类肿瘤细胞。
其三,与CAR-T技术相比,永生化DC-CTL技术最明显的一点优势在于它属于DC细胞天然刺激T细胞,而非人为刺激T细胞产生免疫反应,这样模拟了细胞内刺激T细胞扩增的环境,效率自然也会更高。邵教授告诉记者:“在较短的时间内,我们就可以刺激T细胞扩增十倍甚至百倍,大大缩短临床前的准备工作。”
不再直接对CAR-T进行“操刀改造”,而去改造T细胞的上游DC细胞,将未经任何人为改造的T细胞回输到人体体内,这也是更安全和有效的。
永生化DC技术实体瘤缩小案例
应用范围:
癌肿:肺癌(非小细胞肺癌、小细胞肺癌)、黑色素瘤、头颈部肿瘤、肝细胞癌、食管癌、滑膜肉瘤、胃癌。
免疫细胞治疗人群
√适应症:想提高机体免疫力,清除癌变细胞的人群;
经常规治疗仅部分缓解的患者;
经治疗后肿瘤完全消退,但存在复发、转移风险;
应用传统治疗无效的患者。
×禁忌症:T淋巴细胞病变所致的肿瘤(NK细胞除外);
晚期/肿瘤负荷较大的患者;
恶病质;
因严重的免疫抑制,疫苗无法诱导有效的抗肿瘤免疫者。





