干细胞在女性不孕症中的研究应用
标签:
不孕症的定义是至少12个月无法怀孕(包括流产)。不孕不育的原因可分为三大类,且患病率各不相同:女性原因 (33-41%)、男性原因 (25-39%)、混合原因 (9–39%)。
导致女性不孕的因素有很多,但生殖系统相关疾病是主要原因。女性不孕的病因包括排卵障碍(多囊卵巢综合征、下丘脑功能不全和原发性卵巢功能不全)、管状不孕、子宫内膜异位以及子宫和宫颈原因(宫颈狭窄、息肉和肿瘤)。
常见的不孕不育治疗方法及其风险
尽管激素替代疗法对某些类型的不孕症有效,但这种疗法会增加患乳腺癌的风险。诱导排卵、超数排卵或辅助生殖技术可提高妊娠率,但必须考虑与多胎妊娠风险增加相关的各种因素。
干细胞治疗不孕不育的机制
干细胞之所以有效,有两个原因:
1.归巢现象:干细胞充当救援队,通过对需要修复的组织进行求救。具体来说,干细胞响应从受伤部位释放的趋化因子等信号而在受伤部位积聚。
2.旁分泌效应:影响邻近细胞的细胞分泌物的直接扩散。示例:免疫调节、血管生成、抗炎作用、抗氧化作用、抗凋亡作用、组织修复作用
例如,如果不孕症是由卵巢功能不全引起的,干细胞会直接前往受损的卵巢并在那里发挥作用,促进卵巢恢复。当干细胞注入子宫内膜时,受损的子宫内膜会再生,并通过旁分泌作用恢复生育能力。此外,干细胞是多能细胞,可以发育成各种组织,因此它们本身可以在施用部位变成上皮细胞、基质细胞或内皮细胞。
干细胞治疗卵巢功能障碍引起的不孕症
女性不孕可能是由卵巢功能障碍或子宫内膜异位引起的。导致女性不孕的因素有很多,但生殖系统相关疾病是主要原因。近年来,干细胞疗法在治疗女性不孕症方面引起了人们的关注。
卵巢功能不全是40岁以下女性不孕的原因之一,卵巢功能衰退,雌激素、孕激素、睾酮等激素产生减少,导致排卵停止或间歇性,就是其中之一。卵巢功能不全是一种卵巢功能衰退的病症,但尚未达到卵巢早衰(卵巢功能衰退并导致40岁之前闭经的状态)。当卵巢功能障碍时,怀孕本身就会变得困难。
然而,研究发现,针对卵巢功能障碍的这些症状给予干细胞可以恢复卵巢的结构和功能。
研究人员将干细胞注射到患有卵巢功能不全的兔子体内,观察其功能恢复情况的研究。将患有卵巢功能不全的兔子分为两组,一组接受干细胞,另一组则不接受。给药后立即、2周、4周和6周测量激素水平。
首先,我们来谈谈怀孕期间的荷尔蒙。女性荷尔蒙包括雌激素(卵泡激素)和黄体酮(黄体酮)。它们按规律的周期从卵巢释放,例如在排卵和月经期间。下面介绍的雌二醇是雌激素(卵巢激素)的一种。
雌激素(卵泡激素)会导致子宫内膜生长并增加子宫颈中的粘液,使精子更容易进入子宫。当卵泡发育和子宫内膜充分增厚时,促卵泡激素(FSH)和黄体生成素(LH)的分泌达到高峰,发生排卵,卵子从卵泡中释放出来。排卵后,卵泡变成黄体并分泌黄体酮(黄体酮)。黄体酮(黄体酮)可以软化因雌激素而生长的子宫内膜,使受精卵更容易着床,从而更容易怀孕,并有助于维持妊娠。如果受精卵没有着床,子宫内膜就会脱落并伴随出血而排出,这就是月经。
女性荷尔蒙的流动如下。首先,大脑中的下丘脑分泌促性腺激素释放激素(GnRH),垂体分泌促卵泡激素(FSH)和黄体生成素(LH)。此外,这些激素作用于卵巢中的卵泡,卵泡分泌雌激素(卵泡激素)和黄体酮(黄体酮),作用于子宫内膜。女性荷尔蒙受大脑控制,量多则减少,量少则增加。(反馈)
基于这个解释,请看下面的结果。
(1)研究期间研究组的卵泡刺激素水平(mIU/mL)
可以看出,在干细胞施用组中,卵泡刺激激素(一种释放以分泌卵泡激素的激素)显着减少。
(2)研究期间研究组雌二醇激素水平(ng/L)
另一方面,可以看出,在干细胞施用组中,雌二醇(=性激素、卵泡激素)显着增加。
从以上结果可知,干细胞的施用导致卵泡激素的正常分泌。换句话说,干细胞已经被证明可以改善卵巢功能障碍。
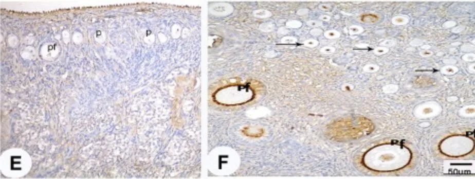
以下是由于在毛囊中施用干细胞而导致的组织学改善。
E:卵巢功能障碍的原始卵泡和初级卵泡(阴性)
F:干细胞治疗后的卵泡(阳性)
阳性卵泡是指 PCNA 免疫染色呈阳性的卵泡。PCNA免疫染色是对增殖细胞核抗原进行染色的方法,对增殖和活化的细胞呈阳性染色。换句话说,阳性结果意味着该功能处于激活状态。
干细胞分化为子宫内膜细胞
蜕膜是子宫内膜的一部分,在妊娠末期与胎盘一起脱落。这种蜕膜化是怀孕发生的必要过程。蜕膜化是子宫内膜的生长和增厚,它改变子宫的状态以允许受精卵着床。前面关于激素的解释,如果受精卵没有着床,黄体酮(黄体酮)就会减少,蜕膜化的子宫内膜会被及时破坏,从而导致月经。蜕膜化是子宫接受受精卵的准备阶段,这种状态在怀孕后会持续很长一段时间。植入后,蜕膜生长并在整个怀孕期间维持。此外,蜕膜化受损可能导致不孕。蜕膜化不足被认为与不孕症、习惯性流产、子宫内膜异位症等有关。
近年来,最新研究表明,干细胞在妊娠期间分化为蜕膜细胞。也就是说,通过给予干细胞治疗不孕症,在怀孕期间转化为蜕膜,进行着床,就可以从根本上消除不孕症。
耶鲁大学发表的一项研究,该研究表明女性的骨髓可能决定她开始和维持妊娠的能力。在这项研究中,在两个具有 Hoxa11 基因缺陷(在小鼠中表现为子宫内膜缺陷)的小鼠模型中,研究人员发现,来自健康捐赠者的骨髓移植可以促进子宫内膜的充分蜕膜化,并发现它可以提高生育能力。
Hoxa11:骨髓干细胞表达的与子宫内膜间质缺陷相关的基因
KO:不表达 Hoxa11 基因的小鼠
WT:野生型小鼠
我结果表明,表达 Hoxa11 的骨髓干细胞影响子宫着床部位的基因表达,并可能对蜕膜化产生深远的影响。一些骨髓来源的间充质干细胞迁移到子宫并成为蜕膜细胞,这些细胞对于着床和妊娠维持过程至关重要。换句话说,蜕膜化是由骨髓干细胞促进的。
干细胞治疗子宫内膜异位症不孕症
子宫内膜异位症是一种类似子宫内膜的组织扩散到子宫外的疾病,当病情恶化时,会导致严重的经痛、慢性下腹痛、性交疼痛、阴道异常出血和月经问题。症状包括疼痛排尿、经前便秘、经后腹泻。如果患有子宫内膜异位症,子宫内膜出血会发生在子宫以外的地方,例如卵巢和肠道的腹膜,这会导致卵巢、输卵管和肠道之间粘连,并在子宫内出现称为巧克力囊肿的卵巢囊肿。卵巢,会形成肿瘤。
不孕症与子宫内膜异位症的关系如下:
尽管子宫内膜异位症与不孕症之间的关系已明确,但子宫内膜异位症抑制妊娠的机制尚不完全清楚。
30-50%的子宫内膜异位症患者不孕;
25-50%的不孕患者患有子宫内膜异位症;
不孕症患者子宫内膜异位症的患病率是正常女性的6至8倍。
正常女性每个月经周期的生育率为15-20%,而子宫内膜异位症患者的生育率则降至2-10%。
阿谢曼综合征(AS)是一种因子宫内膜异位症反复发作而导致子宫内膜遭到破坏而引起的妇科疾病。结果,大部分功能性子宫内膜丧失,子宫腔因宫腔粘连而闭塞,出现闭经、月经过少、不孕、不孕和/或前置胎盘或植入性胎盘等异常情况。这导致胎盘的形成。此外,子宫内膜萎缩 (EA) 是另一种罕见病症,子宫内膜太薄,无法生长超过 5 毫米。两者有一个共同点:缺乏功能性子宫内膜。众所周知,子宫内膜缺乏的人可以通过给予干细胞来再生子宫内膜。
下面我们将介绍16例子宫内膜疾病患者通过动脉导管植入干细胞的案例。其中 11 名患者患有难治性 AS。
(A) AS (B) EA 患者术前和术后宫腔镜图像。
第一眼:干细胞治疗前
第二次观察:干细胞治疗后 3 个月
第三次观察:干细胞治疗后 6 个月
从图像中可以看出,干细胞给药前子宫内膜的炎症在干细胞给药后得到缓解。综上所述,表明干细胞可以再生子宫内膜。
换句话说,干细胞疗法可以使子宫内膜再生,使其更适合怀孕。


