干细胞—心血管疾病的“强心剂”
标签:
那拳头般大小的心脏,宛如生命的精致引擎,为全身输送着源源不断的活力。然而,一旦这精密的引擎出现故障,便会如多米诺骨牌般引发全身连锁反应,对生命构成难以忽视的威胁。据权威资料揭示,我国心血管疾病患者已高达3.3亿,每四位同胞中,便有一位与这“隐形杀手”不期而遇。
心血管疾病,这个看似笼统的称谓,实则涵盖了冠心病、心肌梗死、心衰等诸多令人胆寒的病症。它们如同潜伏在暗处的刺客,一旦发动攻击,便以迅雷不及掩耳之势夺人性命,因此得名“隐形杀手”。
那么,为何这“隐形杀手”会如此青睐我们的同胞呢?全球权威医学期刊《柳叶刀》给出的答案让人触目惊心:高血压、吸烟、高盐饮食和户外空气污染,正是导致我国心血管疾病高发的四大元凶。这些无形的“刺客”悄然间侵蚀着我们的健康,让我们在不知不觉中步入危险的境地。
我国死亡人数及相关风险因素
心血管疾病的治疗之路依旧坎坷崎岖。尽管我国的医疗技术已经取得了跨越式的进步,然而,在这片广袤的医疗疆土上,仍有无数的心血管幸存者如同被冰雪覆盖的枝条,生活自理成为遥不可及的梦想。传统的治疗手段,如同老旧的马车在崎岖的山路上颠簸前行,阿司匹林、抗血小板药物如同简单的绷带,扩张血管的药物如同短暂的暖风,而手术则如同艰难的攀登,它们虽能暂时缓解病情,但终究无法触及那已经破损的心肌细胞,无法使其重焕生机,无法让心脏重新奏响生命的乐章。因此,我们迫切需要寻找一种全新的、有效的治疗策略,如同春日的暖阳,照亮这些患者前行的道路,让他们的预后更加光明。
传统方法干预 ——心脏疾病效果欠佳
健康心脏与左心发育不良综合症
心脏疾病,如一位狡猾的暗影,悄然潜伏在人体的循环系统中,其症状繁多,心悸、心绞痛、心力衰竭、心律失常等,如同黑夜中的狂风骤雨,无情地摧残着生命的脆弱。更为令人不安的是,它常常悄无声息地成为死神手中致命的镰刀。
面对这位无情的杀手,现代医学已经构建了多道防线。外科手术治疗,如同战士挥舞的巨斧,虽然勇猛,但创面巨大,容易引发诸多并发症,如同战后的废墟,难以收拾。而介入治疗,如同一位精细的工匠,以微创之姿悄然行动,但并发症的阴影仍旧如影随形,难以完全避免。至于药物治疗,虽然如涓涓细流,企图滋养枯竭的心田,但效果却时常令人叹息,仍有待于更为精进的突破。
然而,心肌细胞,那些构成心脏坚实堡垒的永久细胞,一旦受损,便如同散落的沙粒,无法再次凝聚。它们会永久地缺失,被瘢痕所取代,就像一片荒芜的土地,再也找不回昔日的繁华。随之而来的,是心力衰退、恶性心律失常等恶果,如同寒冬的霜雪,无情地侵袭着心脏的功能,使其日渐衰弱。
尽管溶栓等药物治疗、支架的植入和心脏移植等方面取得了很大进展,但前两种方法并不能有效治疗所有心脏疾病或改善预后,而心脏移植还会有排斥反应的风险。
有研究指出,干细胞在特定诱导条件下可定向分化成有收缩功能的心肌细胞、内皮细胞和平滑肌细胞,将其回输至缺血坏死的心肌区域,可通过肌电耦连和旁分泌作用,使心肌收缩增强、血管再生、心肌再生,从而改善心功能,因此干细胞一直是生物医学研究的热点之一。
干细胞—心血管疾病的“强心剂”
作为有望开启第三次医学革命的再生医学,干细胞疗法已经为许多疑难杂症的治愈带去新的希望,而当科学家将其运用在心血管疾病的治疗上时,它的表现也毫不逊色。
干细胞是类具有多向分化及组织再生能力的“原始细胞”,在一定条件中,它能分化成我们身体里的任一一种细胞,包括心肌细胞,血管内皮细胞等,凭借这个特性,它就能对病患的心血管进行“灾后重建”。
干细胞具有多向分化、组织再生功能
同时,干细胞还具有旁分泌作用及免疫调节功能,它们能分泌生长因子促进心脏修复,同时减少心肌细胞的凋亡。可以说,干细胞疗法为心血管疾病的治疗带来了前所未有的希望。
干细胞治疗心梗
心梗是冠状动脉急性、持续性缺血缺氧所引起的心肌坏死,如果在4-6小时内不能恢复血流重建,心肌细胞就会永久死亡,造成心脏衰竭,严重影响患者今后的心脏功能。
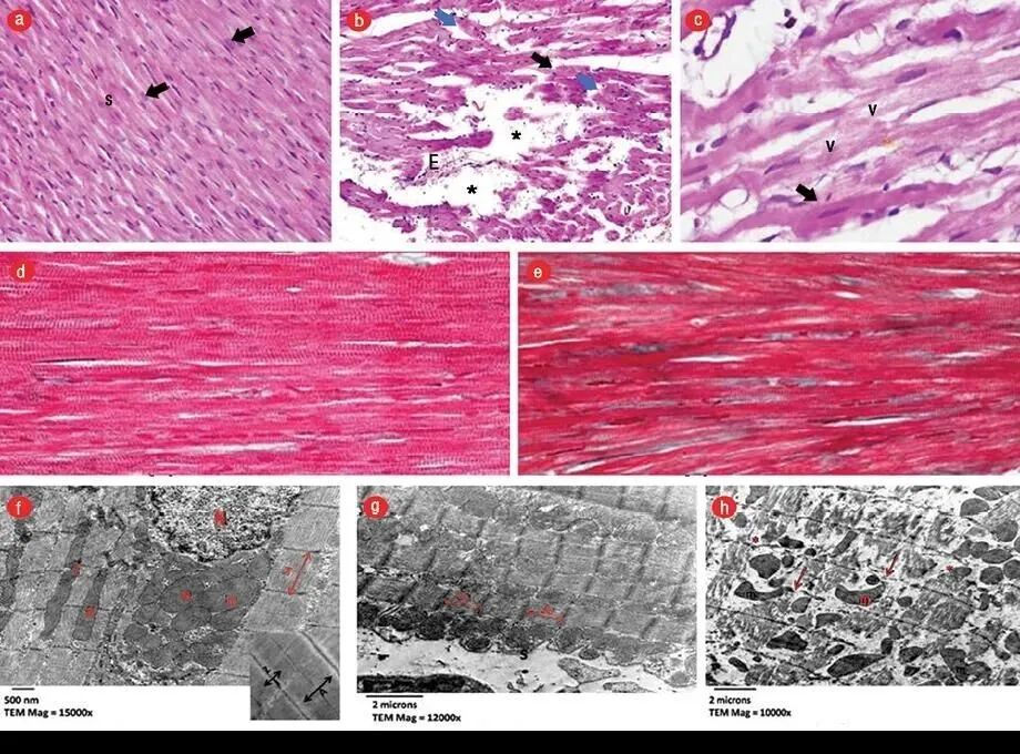
而一项来自《OMJ》杂志的文章证实:使用间充质干细胞治疗可以恢复心肌梗死症状。
研究人员经过28天的诱导追踪发现,与对照组小鼠相比,间充质干细胞治疗组修复了心电图ST段、QT和QRS间期恢复所显示的心脏功能,且小鼠心肌梗死面积明显减少,组织病理学检查甚至可见心肌组织的再生征象。
与对照组相比,间充质干细胞实验组显示出组织学变化
这无疑为心梗的治愈打了一针“强心剂”,试验证明了间充质干细胞不仅能缩小心肌梗死面积,还能再生心肌组织,对促进伤口的愈合,恢复心脏功能起到了关键作用。
干细胞治疗心衰
心衰几乎是所有心血管疾病的最终归宿,据悉每5个心脏病患者就会有1个发展为心衰,而心衰的五年死亡率高达74%。心衰患者亟待更加有效的“救命之法”。
国际医学期刊《柳叶刀》曾报道了世界第一例接受干细胞治疗心脏病的临床案例。患者迈克尔·琼斯在治疗前后展现了惊人反差,曾经的他只能走几步路,但经过干细胞治疗之后,他可以自如的跑步,打篮球。
而这样的改善并非个例,同期参与研究的14名患者也在接受治疗后展现了良好的疗效,他们平均射血分数从30.3%提高到了38.5%,一年后,他们的心脏疤痕组织也下降了30%。
心衰治疗患者和对照组的超声心动图分析
科学家们分析,这主要得益于干细胞能重建受损心肌并恢复心脏功能,其分泌的细胞因子还可以降解疤痕组织中胶原蛋白纤维的蛋白酶,从而促进心肌组织再生。
干细胞解决心脏移植难题
当心血管疾病病程的不断迁延而来到终末期,医生一般会建议心脏移植,然而器官移植谈何容易,就中国而言,每年都有约30万病人在等待着器官移植,但只有1万左右的幸运儿最终能进入手术室。1:30的供需差距背后,是越来越多病患无望的一生。
来自维也纳奥地利科学院的科研团队,使用干细胞成功培养出全球首个体外自组织心脏类器官模型,模型可自发形成空腔,自主跳动,无需支架支持。更令人惊喜的是,这种心脏类器官在受伤后可以自主动员心脏成纤维细胞迁移修复。
跳动的心脏类器官
实验者Mendjan教授还表示:下一步他们还将挑战人类真实的心脏合成。而伴随着越来越多的生物公司加入干细胞技术的研发,终有一天,我们可以实现利用干细胞再造器官的梦想,彻底解决器官供体稀缺的困境。
药物还是手术,过去医学界一直摇摆不定,而干细胞在治疗心血管疾病的临床结果,给了我们新的答案!随着生物医学的不断发展,相信我们最终能攻克心血管疾病难题,为万千患者带去福音。


