6次NK细胞联合治疗后,非小细胞肺癌患者的症状得到了明显改善
标签:
肺癌是世界上最常见的恶性肿瘤之一,已成为我国城市人口恶性肿瘤死亡原因的第1位。非小细胞型肺癌包括鳞状细胞癌(鳞癌)、腺癌、大细胞癌,与小细胞癌相比其癌细胞生长分裂较慢,扩散转移相对较晚。非小细胞肺癌约占所有肺癌的80%,约75%的患者发现时已处于中晚期,5年生存率很低。
根据肿瘤的大小、肺癌在淋巴结及其他组织的转移情况等,将非小细胞肺癌分为I、II、III、IV期。其中I、II期为早期,III、IV期都可认为是肺癌晚期,我国约有68%的新发病人为晚期病人。
在世界范围内,肺癌是发病率和病死率均排名前列的恶性肿瘤,多数病人确诊时已属晚期,预后常不佳。近年来我国非小细胞肺癌患者人数从2017年的71.4万人持续增长至2021年的81.1万人,五年复合增长率为3.24%。
NK细胞直接、灵敏、反应速度极快,不需要被激活就能直接消灭癌细胞,被医学界公认为“抗癌第一道防线”。研究发现,一个NK细胞就可杀死27个癌细胞。NK细胞对几乎所有常见的癌细胞类型都有杀伤作用,包括肺癌、乳腺癌、肝癌、淋巴癌、食道癌等。
NK细胞已发展成为癌症免疫疗法的强大工具。特别是对于一线或维持治疗失败的患者,结合免疫治疗等方法,取得了良好的治疗效果。
《Respiratory Medicine Case Reports》杂志上发表了一篇题为A case of response to combinationtreatment with autologous immunotherapyand bevacizumab in advanced non-smallcell lung cancer(晚期非小细胞肺癌免疫治疗联合贝伐珠单抗治疗反应一例)的案例,报告了一项关于采用自然杀伤细胞(NK细胞)联合贝伐单抗干预晚期非小细胞肺癌(NSCLC)取得积极成效的案例研究。
一名61岁的晚期非小细胞肺癌患者在经历标准的Keytruda干预后,病情发展出现新的病灶扩散。因此研究团队决定采用创新的联合疗法,即结合NK细胞疗法、化疗药物吉西他滨以及靶向药物贝伐单抗进行综合干预。
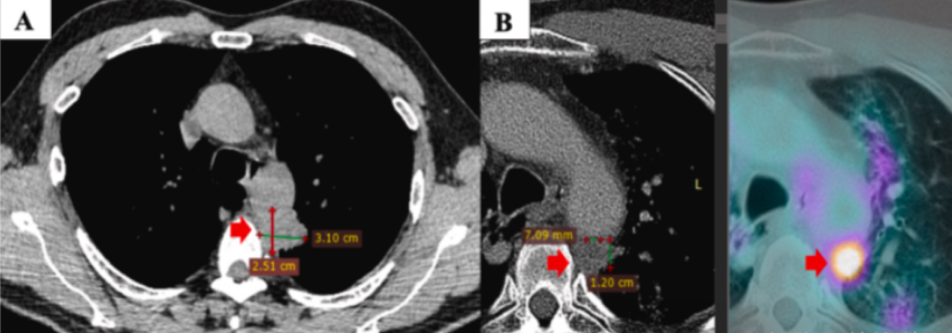
图:患者接受3个周期的一线干预方案:卡铂+紫杉醇双药化疗,并在第三个周期联合放疗。干预后PET/CT显示病灶缩小到12×7mm(图B),取得部分缓解,肿瘤标志物回复正常,并改善了一些临床症状。
图:PET/CT复查显示局部进展,原发病灶大小增大为28×29mm,SUVmax值为11.2,并侵袭到纵膈胸膜和主动脉。此外,左侧锁骨上淋巴结新发转移灶,9×6mm(图B)
经过一个疗程共6次的NK细胞输注,同步配合吉西他滨和贝伐单抗用药后,患者的原发肿瘤以及转移灶的体积均有显著缩减。更为重要的是,生活质量监测数据显示患者的生活质量得到了明显改善。在整个联合干预过程中,未观察到明显的副作用,尤其是对造血系统、肝脏以及肾脏功能未产生毒性影响。
这一病例生动证明了NK细胞联合贝伐单抗及吉西他滨疗法在应对PD-L1表达阳性的晚期非小细胞肺癌患者时,可能是一种颇具前景的有效干预策略。
在6次输注NK细胞联合吉西他滨、贝伐珠单抗后,患者的原发性和转移性病灶明显缩小,生活质量明显改善。此外,在联合治疗期间,没有副作用的报道,也没有在造血系统、肝脏和肾脏中观察到毒性。病例表明,这种治疗方案是PD-L1表达的晚期非小细胞肺癌的一种潜在治疗方法。


