被称为免疫细胞中“特种兵”的NKT细胞有何独特之处
标签:
一个正常的细胞,在周遭环境那无孔不入的侵扰之下,污染的空气如同无形的毒雾,被污染的水和食物则化作慢性毒药,加之无处不在的辐射威胁,以及体内细菌病毒的狡猾慢性感染——逐渐踏上了一条异变之路,缓缓蜕变,由平凡走向异常,形成了突胞细胞,进而恶化为令人色变的癌细胞。令人震惊的是,人体这个精密复杂的机器,每天竟会默默孕育出约3000个这样的潜在威胁。
然而,得益于人体免疫系统的英勇守卫,这些癌细胞仿佛被无形的枷锁束缚,进展之路步履维艰,潜伏期可长达5至10年的漫长岁月。这是一场无声的战争,免疫系统与癌细胞之间展开了激烈的博弈。
但世事无常,一旦癌细胞狡猾地逃脱了免疫系统的严密监控,其裂变的速度便如同脱缰的野马,成倍激增,势不可挡。在短短的时间内,癌细胞的数量便会攀升至一个令人难以置信的天文数字。更为严峻的是,随着数量的急剧膨胀,癌细胞还会发生骇人听闻的转移,四处流窜,为所欲为。这也正是为何许多人一经发现癌症,便已是晚期,错失了宝贵的手术治疗机会,只能无奈地面对这残酷的现实。
研究人员发现免疫细胞可用于癌症治疗的历史已有40多年,在免疫细胞大军抗击肿瘤的防线上,NK细胞、CTL(CD8+T)细胞和NKT细胞分别组成了抗击肿瘤细胞的三层防御系统。NK细胞、CTL细胞分别构成了初级、次级防御区,而NKT细胞则处于核心防御区,被称为免疫细胞中的“特种兵”。科学家们在显微镜下观察到:NKT细胞的体积是NK细胞的8-10倍,是免疫细胞中的“大块头”。通过科学测量,发现NKT细胞中溶酶体的含量要比NK细胞高上万倍,比较NK细胞来说,具有更强的杀伤性,而CTL细胞在杀灭靶细胞过程中,本身不受伤,具有较强抗原特异性,所以,在杀灭肿瘤过程中二者起到了决定性的作用。
NKT细胞,全称为Natural Kier T细胞,是一种独特的免疫细胞,它们兼具T细胞和NK细胞的部分特征,在免疫系统中发挥着举足轻重的作用。
NKT细胞是一种特殊的T细胞亚群,其细胞表面同时表达T细胞受体(TCR)和NK细胞受体。这种独特的受体组合使得NKT细胞能够识别并响应两种不同类型的抗原:一种是蛋白质抗原,通过T细胞受体识别;另一种是脂类抗原,通过CD1分子提呈并由NK细胞受体识别。这种双重识别能力赋予了NKT细胞在免疫应答中的独特地位。
NKT细胞的主要特征之一是它们能够共表达T细胞受体和NK细胞受体。这些受体不仅使NKT细胞能够识别多种抗原,还使它们能够迅速产生高水平的IL-4、IFN-γ、IL-10、IL-13、TNF-α等多种Th1、Th2类活性细胞因子,调节T淋巴细胞向Th1和Th2方向分化,参与Th1/Th2平衡的调节。NKT细胞可诱导NK细胞增生,促进B细胞、CD4+、CD8+、细胞毒性T淋巴细胞(CTL)旁路活化等,发挥与NK细胞相似的细胞毒作用。同时,通过诱导耐受性抗原提呈细胞(APCs)间接促进Treg细胞的功能,Treg细胞能抑制NKT细胞增殖,故NKT细胞和Treg细胞两者既相互促进又相互制约,共同维持免疫平衡,在母胎耐受形成、诱导移植耐受和防止自身免疫性疾病发生等方面发挥着重要的作用。NKT细胞既有增强免疫反应、又有抑制免疫反应的双重调节机制,既可以诱导免疫耐受,维持正常的妊娠环境,也可以增强免疫排斥,导致流产的发生。
NKT细胞含量少,约占外周血T细胞的0.1%,但它内部有的大量杀伤性细胞因子远高于NK细胞和T细胞。当NKT细胞受到刺激,便能够快速地释放这些细胞因子杀伤肿瘤细胞。NKT细胞直接识别由非多态性MHC分子CD1d呈递的脂质抗原,从而刺激其产生细胞因子,进一步激活DC细胞、NK细胞、CD8 T细胞等其他免疫细胞,产生广泛的免疫反应。
十二五重大专项指示下开展的临床试验显示:一组出现淋巴结转移的患者,手术后复发率极高的27例癌症患者,经过3年NKT细胞治疗干预,90%以上的患者没有出现复发!
44例晚期癌症患者,经过各种常规治疗后出现肺、肝转移,单个病灶<1cm,经过一年的NKT治疗干预,CT评效,显效率接近70%!
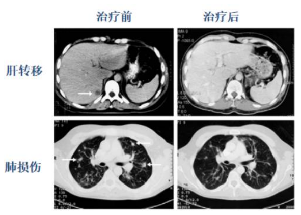
NK-T回输治疗后肺癌病人肿瘤指标下降,肝转移完全消退(上),肺损伤明显减少(下),箭头所示回输治疗之前的损伤部。
NKT免疫细胞的独特优势:
1.不仅直接攻击癌细胞,还有增强体内免疫细胞活性的作用,持有非常高的抗癌效果,几乎可以治疗所有的患者和癌症。
2.因同时作用于获得性免疫系统和自然免疫系统,不需要提前手术,不改变基因。
3.可以和其他的治疗并用:可以和包括外科手术在内的,抗癌剂、放射线治疗并用。对于放射线耐受性强,因此对于接受放疗的患者也同样有效!用通常疗法杀伤癌细胞的同时,可以用免疫细胞治疗达到减轻副作用和抑制癌细胞增殖的效果。
4.对所有部位的癌,任何患者都有治疗可能。
5.由于是自然免疫细胞的活性化,所以基本没有副作用;不仅癌症患者能使用,普通人也可以用来调节免疫,改善亚健康。


